项目申报

成果申报

信息快讯

您现在的位置: 首页  > 学术动态  > 正文

全球首例异基因造血干细胞治疗LPI患儿康复

发布者:点击量:发布时间:2023-04-14

作者:陈祎琪 来源:中国科学报 发布时间:2023/4/14 15:55:07
选择字号:
全球首例异基因造血干细胞治疗LPI患儿康复

 

近日,北京协和医院儿科团队联合南方春富(儿童)血液病研究院在《过敏及临床免疫学杂志》上发表了一项使用异基因造血干细胞移植治疗赖氨酸尿蛋白不耐受症(LPI)的研究成果。据悉,这是国际上首个通过异基因造血干细胞移植治疗LPI的成功案例,且长达四年的随访结果显示,该儿童患者已经彻底恢复了健康。

揪出“元凶”

2017年,6岁的童童(化名)开始出现烦躁、间断谵妄,并出现过两次无热惊厥。查体结果显示,童童的免疫指标显著异常,肾穿结果回报为狼疮肾炎,同时伴有呼吸、血液、泌尿系统受累的症状。综合上述表现,童童被诊断为“系统性红斑狼疮”,需接受激素和免疫抑制剂治疗。但经过规范治疗后,童童的病情控制仍不理想。

2019年,童童病情再次反复,出现了持续高热、咳嗽、肝脾肿大、全血细胞减少等新症状,肺部CT显示广泛的磨玻璃样病变。结合新症状和相关化验结果,北京协和医院儿科为其作出“噬血细胞综合征+肺泡蛋白沉积症”的诊断。

为何这么多的重病都同时找上这么年幼的孩子?在北京协和医院儿科主任宋红梅的带领下,其团队经过全面复盘和综合分析童童的病史,发现了几点可疑之处:一是身高发育落后、语言和社会能力发育落后;二是童童从小不喜欢吃高蛋白的食物,进食后容易腹泻,有一次进食炸鸡后,甚至出现了意识丧失伴高氨血症;三是存在呼吸道反复感染病史。

这些隐藏的线索表明,童童的病因可能是遗传代谢方面的问题。经检查,童童的尿筛提示尿赖氨酸、乳清酸、尿嘧啶明显升高,基因测序结果发现SLC7A7复合杂合突变。至此,童童的原发病终于得到了明确诊断——LPI。

另辟蹊径

LPI是一种罕见病,因机体无法分解和利用赖氨酸、精氨酸和鸟氨酸引起。患者在摄入含相关氨基酸的蛋白质后,会出现呕吐、腹泻、喂养困难、昏迷、发育停滞、肝脾肿大、肌张力减退导致全身无力等严重症状。此外,LPI还会导致引起系统性红斑狼疮、噬血细胞综合征等免疫系统异常的相关表现。目前,该病已被列入我国《第一批罕见病目录》。

截至目前,LPI没有成熟的治疗指南,也没有特效药,临床常用的疗法包括限制蛋白质摄入量、补充精氨酸和其他营养支持等。因此虽然诊断已经明确,但童童的治疗始终没有明显进展,而且除LPI外,重症系统性红斑狼疮已经威胁到了她的生命,免疫缺陷导致她反复感染,肾功能也持续恶化。

为了挽救这个年轻的生命,宋红梅邀请南方春富(儿童)血液病研究院李春富团队会诊,双方很快就治疗方案达成共识。虽然国际上尚无对LPI进行造血干细胞移植治疗的文献报道,但从发病机理上看,异基因造血干细胞移植在治疗上有可行性;从既往经验看,异基因造血干细胞移植在治疗其他代谢病中获得过成功。随后,在获得童童父母同意后,李春富团队为童童顺利完成了配型和移植。

回归正常

移植后,童童的随访结果显示,噬血细胞综合征表现迅速缓解,系统性红斑狼疮和肺泡蛋白沉积症的症状显著改善,肝脾明显缩小,代谢、免疫方面各项指标陆续从增高上百倍恢复到正常水平。

  ?

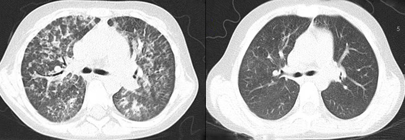
童童术前(左)和术后(右)CT对比,肺泡蛋白沉积症状显著改善。

今年是童童移植后第4年,在减停激素及免疫抑制药物后,童童病情没有复发,也没有严重的移植相关排斥反应,身体状况始终平稳。更令人惊喜的是,童童的身高发育也开始追赶同龄人,她已经完全回归正常的生活。

“这是国际上首例针对LPI患者进行的造血干细胞移植治疗,该治疗策略表现出的显著疗效为更多的罕见病患儿家庭带来了希望,也为其他罕见代谢性和免疫系统异常性疾病提供了新的治疗思路。”宋红梅说。(北京协和医院供图)

相关论文信息:https://doi.org/10.1016/j.jaci.2023.03.006

 
版权声明:凡本网注明“来源:中国科学报、科学网、科学新闻杂志”的所有作品,网站转载,请在正文上方注明来源和作者,且不得对内容作实质性改动;微信公众号、头条号等新媒体平台,转载请联系授权。邮箱:shouquan@stimes.cn。